БЛОГ
БЛОГ
- Uncategorized

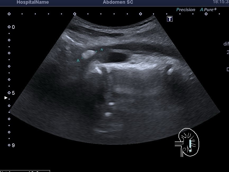
УЗД органів черевної порожнини, УЗД селезінки, спленоз Ультразвукова діагностика може виявити такі патології ,які змінюють життя пацієнта. Обов’язково перед обстеженням...

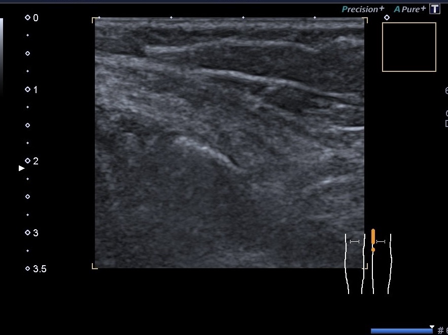
УЗД нервів при травмах. Патологія периферичних нервів може бути розділена на дві великі групи: травматичні та нетравматичні ушкодження. Травматичні ушкодження...

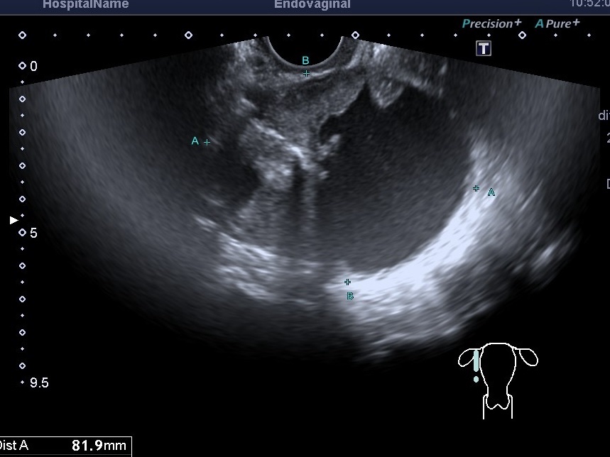
Патології малого таза трапляються дуже часто, і головне завдання лікаря — не пропустити утворення в цій області . Останніми роками...

УЗД молочних залоз Medicinе groupПід час дослідження молочних залоз основну увагу лікар приділяє виявленню підозрілих утворень. УЗД молочних залоз особливо...

В нашому кабінеті УЗД Medicine Group проводять багато видів УЗД, але можливо не всі чули про УЗД нервів .Це дослідження досить не...

Еластографія печінки Київ – це метод діагностики, який використовується для оцінки ступеня фіброзу (жирової дегенерації) печінки. Цей метод ґрунтується на...

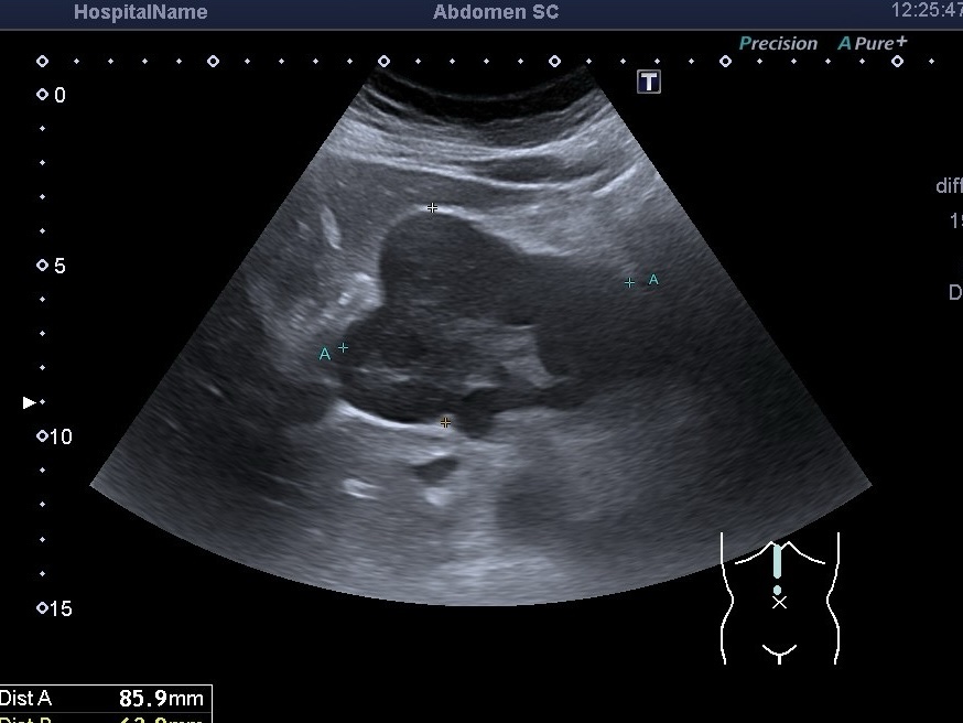
УЗД органів черевної порожнини при захворюваннях крові Під час ультразвукового дослідження (УЗД) органів черевної порожнини увагу звертають не лише на...
УЗД нервів та м’яких тканин. Якщо Ви думаєте, що дослідження нервів та м’яких тканин легко, то хочемо Вас розчарувати. Щоб...

Вогнищеві утворення печінки на УЗД. Часто наші пацієнти при обстеженні вихваляються тим, що вони в перший раз в житті звертаються...
УЗД судин шиї та голови. Якщо у Вас часто піднімається тиск і Ви помітили, що він різниться на руках більше...
УЗД жовчного міхура. При проведенні УЗД органів черевної порожнини особливу увагу ми приділяємо жовчному міхуру(ЖМ). Крім виявлення конкрементів, ознак запалення,...
УЗД молочних залоз Київ. Крім різних видів пухлин молочної залози, нам часто зустрічаються також і запальні захворювання залози. Запальні неспецифічні...
УЗД при ревматоїдному артриті. Одним з найбільш розповсюдженим захворюванням сполучної тканини являється ревматоїдний артрит. УЗД суглобів стало невід’ємною частиною в...
Ера Інтернету, доступності інформації дали свої позитивні наслідки,особливо молоді люди почали більше приділяти увагу своєму здоров’ю,профілактиці. УЗД малого тазу в...
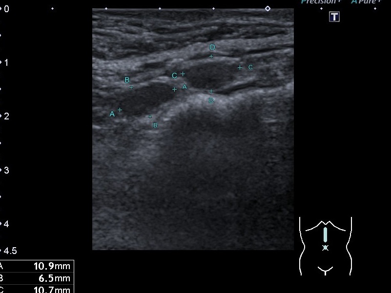
УЗД при різних видах кил. В таке дослідження, як УЗД м’яких тканин, входить також УЗД різних видів кил. При цьому кили...
