Останнім часом при проведенні УЗД судин шиї більша увага приділяється тому щоб оцінити типи атеросклеротичних бляшок (АСБ). Залежно від типу бляшки можна судити про ступінь ризику виникнення інсульту у пацієнта. Існує кілька класифікацій АСБ. Одна з них — Plaque-RADS — поділяє бляшки на 4 категорії.
Класифікація Plaque-RADS:
- Найнебезпечніша АСБ за цією класифікацією — це 4 категорія, куди входять бляшки, ускладнені внутрішніми крововиливами, тромбозами, з пошкодженою фіброзною покришкою.
- До помірного ризику належать АСБ 3 типу, які також поділяються на 3 підтипи (а, b, c):
- тип 3а — АСБ із товстою фіброзною покришкою;
- тип 3б — із тонкою покришкою (за умови, що цю покришку є можливість оцінити);
- тип 3с — бляшки з виразками (переривчастою покришкою).
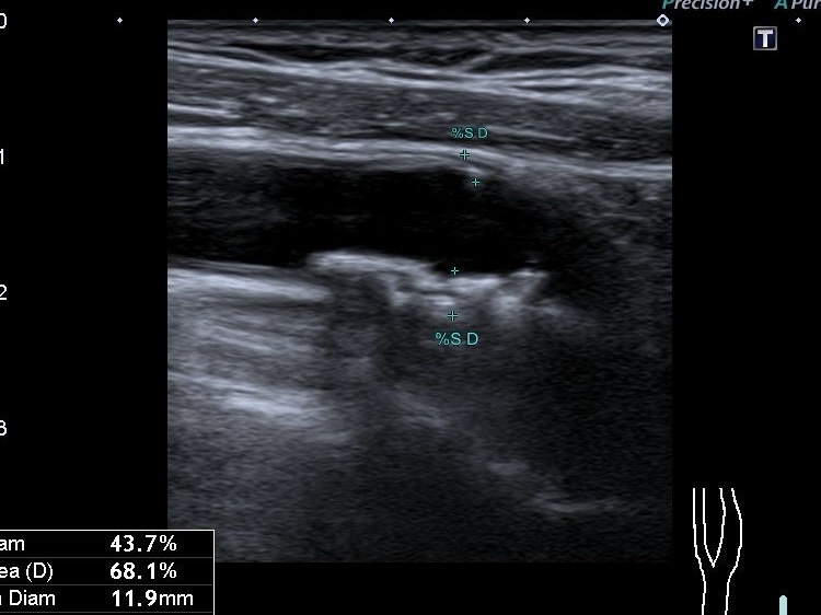
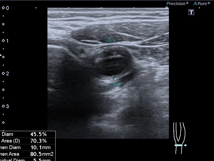
Різниця між 2 та 3 категоріями полягає в товщині стінки: якщо максимальна товщина стінки в місці бляшки до 3 мм — це 2 тип, якщо більше 3 мм — 3 тип. 2 категорія АСБ вважається категорією з низьким ризиком інсультів.
До появи цієї класифікації тривалий час існувала класифікація нестабільності АСБ за ехогенністю (Gray-Weale-Geroulakos). Враховуючи, що назви класифікацій атеросклеротичних бляшок мало відомі багатьом клініцистам, ми вважаємо за важливе описувати характеристики АСБ за її стабільністю в першу чергу. Наприклад: нестабільна (гомогенна гіпоехогенна) АСБ або нестабільна (гетерогенна, переважно гіпоехогенна АСБ) з виразками.
На що я звертаю увагу під час обстеження?
Для клініцистів (неврологів, кардіологів) назви класифікацій можуть бути маловідомими, тому у своїх заключеннях я в першу чергу детально описую стабільність бляшки:
- Стабільна бляшка: має щільну структуру, низький ризик відриву.
- Нестабільна бляшка: може бути гомогенною гіпоехогенною або гетерогенною з виразками. Саме такі бляшки є найпідступнішими, бо вони можуть легко призвести до тромбозу.
Порада від лікаря: Знати тільки відсоток стенозу (звуження) судини — недостатньо. Важливо розуміти “якість” бляшки. Навіть невелика, але нестабільна бляшка може бути небезпечнішою за велику стабільну.
Чому варто пройти діагностику у нас?
На практиці ми часто бачимо, що вчасне виявлення бляшки 4-ї або 3-ї категорії (особливо типу 3с із виразками) дозволяє вчасно призначити терапію та попередити судинну катастрофу.
Ваша безпека починається з точного обстеження. Запишіться на професійне УЗД судин шиї на Мечникова, 7, щоб отримати вичерпну інформацію про стан ваших артерій.

Типи атеросклеротичних бляшок
