Сучасні методики відкривають нові горизонти у вивченні патологічних процесів. Сьогодні УЗД колінного суглоба (УЗД меніска Київ) дозволяє не лише виявити пошкодження, а й відстежувати процес загоєння в динаміці.
Еластографія та режим SMI: погляд зсередини
У моєму кабінеті ми використовуємо передові технології, які значно підвищують інформативність обстеження:
- Еластографія зсувної хвилі: Дозволяє прослідкувати процес фіброзування розриву та зміну жорсткості меніска під час лікування. Це дає розуміння, наскільки успішно проходить відновлення тканин.
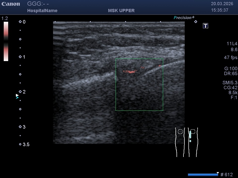
- Технологія SMI (візуалізація мікроциркуляторного русла): Це унікальний режим, що дозволяє побачити найдрібніші судини. Завдяки SMI ми можемо визначити кровопостачання «червоної зони» меніска та зафіксувати рідкісне явище — неоангіогенез (появу нових судин) у «білій зоні» після травми.
Що саме ми бачимо на УЗД?
Хоча точність ультразвукової діагностики поки що вивчається у порівнянні з артроскопією, вже зараз ми можемо впевнено визначити:
- Тип пошкодження меніска (горизонтальний чи вертикальний розрив).
- Меніскокапсулярну сепарацію.
- Екструзію меніска (його зміщення).
- Кісти меніска після травм.
- Дегенеративні зміни.
«Червона» та «біла» зони: чому це важливо?
Розриви в червоній зоні (де є кровопостачання) загоюються набагато швидше. Біла зона позбавлена судин, тому відновлення там проходить важче. На звичайному УЗД (В-режимі) відрізнити ці зони неможливо, але режим SMI дозволяє відмежувати їх завдяки доплерівському сигналу від мікросудин.
Динамічне спостереження за допомогою УЗД допомагає лікарю та пацієнту розуміти темпи одужання та коригувати реабілітацію.
УЗД меніска Київ



