УЗИ молочных желёз

При исследовании молочных желез основное внимание врач уделяет выявлению подозрительных образований. УЗИ молочных желез особенно эффективно у женщин с плотной молочной железой,у молодых женщин и также для контроля послеоперационных изменений.
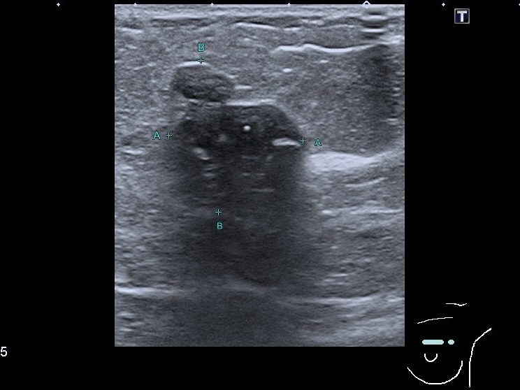
При обнаружении образования в молочной железе обращаем внимания на характерные для злокачественного образования признаки: неправильная форма, нечёткие, спикулированные («лучистые») контуры, сниженная чаще эхогенность, неоднородность структуры, часто наблюдаемая задняя акустическая тень (затухание). Кроме этого, обращаем внимание на ориентацию образования- подозрительным на рак будет «вертикальный рост». Это когда высота больше ширины. Кроме перечисленных признаков, могут быть утолщение кожи, её деформация, втяжение, усиление кровотока, хотя далеко не всегда. Иногда может втягиваться сосок и увеличиваться лимфатические узлы. Но такие изменения уже наблюдаются чаще при запущенных раках молочной железы.
Если регулярно проходить диагностический контроль молочных желез, можно обнаружить первые подозрительные на рак признаки без распространения процесса на лимфатические узлы, другие органы. Недавно к нам обратилась женщина для профилактического контроля молочных желез. При проведении УЗИ было обнаружено образование неправильной формы гипоэхогенное образование с кальцинатами ,с нечёткими неровными контурами, с акустическим эффектом заднего затухания(тени). При этом васкуляризации не было выявлено. Регионарные лимфатические узлы, состояние кожи были без патологических изменений. Это образование чётко видно на сканах. Пациентка была отправлена на биопсию. Мы предполагаем, что всё у неё вовремя выявлено и будет пролечено.
