УЗИ почек и мочевого пузыря на Кловской: когда боль в животе указывает на почечную патологию

Нередко пациенты обращаются ко мне с жалобами на боли в животе, но в ходе диагностики мы обнаруживаем патологию почек и мочевыводящих путей. Хочу поделиться недавним случаем из практики.

Клинический случай: нетипичные боли

Молодой человек обратился с болями в левой половине живота, иррадиирующими вниз к малому тазу. Примечательно, что мочеиспускание оставалось обычным и безболезненным.

Что показало обследование:

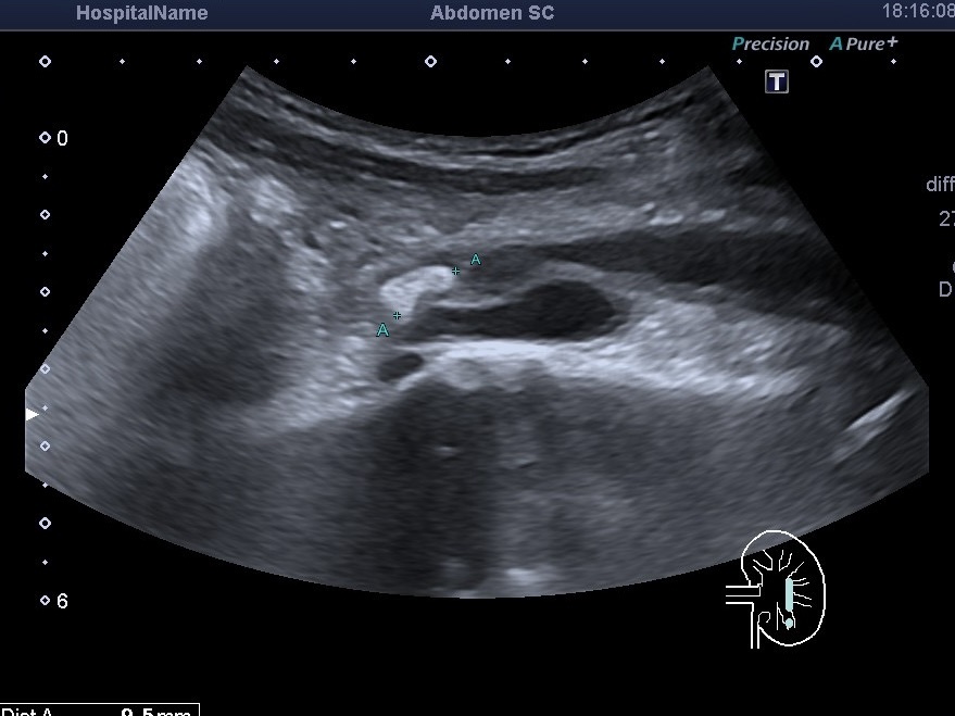
  1. Гидронефроз левой почки: значительное расширение лоханки, чашечек и мочеточника.
  2. Конкремент в почке: в одной из чашек визуализировался камень около 6 мм.
  3. Отсутствие выброса мочи: при осмотре мочевого пузыря было заметно, что выброс из левого мочеточника не происходит (работал только правый). Это означало наличие «блока» в мочеточнике.

Точная диагностика — залог спасения почки

Средняя часть мочеточника обычно плохо видна на УЗИ, и в таких случаях требуется КТ. Однако, благодаря телосложению пациента, мне удалось обнаружить камень длиной 10-12 мм в средней части мочеточника. Именно он блокировал отток мочи и вызывал боли.

Пациент был немедленно направлен в стационар к урологам, где камень успешно удалили.

Опасные последствия игнорирования симптомов

Блокировка оттока мочи — это экстренное состояние. Без своевременного вмешательства оно приводит к:

Если вас беспокоят боли в животе или пояснице, не откладывайте визит к врачу. УЗИ почек и мочевого пузыря — это быстрый и безопасный способ исключить опасные состояния.

УЗИ почек и мочевого пузыря на Кловской

УЗИ почек и мочевого пузыря на Кловской

НАШI КОНТАКТИ

НАШI КОНТАКТИ

© 2018 Created by SEOGRUM.