УЗИ брюшной полости при заболеваниях крови.
При проведении УЗИ органов брюшной полости мы обращаем внимание не только на печень, поджелудочную железу и жёлчный пузырь. Обследуются также и лимфатические узлы, сосуды брюшной полости и т.д. При заболеваниях крови особое внимание уделяется диагностики лимфатических узлов, селезёнке. Обычно лимфатические узлы брюшной полости (забрюшинного пространства) при этом увеличены, имеют округлую или овальную форму(в норме они овальные),изменённую структуру-они гипоэхогенны, с нечёткой кортикомедулярной дифференцировкой. Часто центральную эхогенную зону при этом не видно, она как бы стёрта. Кровоток в лимфатических узлах может быть как усилен (при активации процесса), так и не повышенным. Самая многочисленная группа висцеральных лимфатических узлов брюшной полости-брыжеечные. Они расположены в брыжейке тонкой кишки возле верхней брыжеечной артерии. При заболеваниях крови эти группы лимфатических узлов образуют большие конгломераты, которые даже могут сдавливать соседние органы.
Обращает внимание на себя при гематологических заболеваниях изменения селезёнки. Селезёнка чаще увеличена, но может быть и обычных размеров. Капсула в основном не нарушена. Структура часто неоднородная, с гипоэхогенными очагами различных размеров. Эхогенность селезёнки часто снижена.
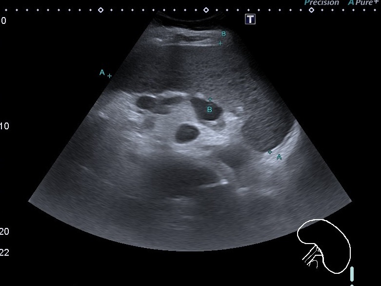
На скане представлены конгломераты характерных лимфопролиферативных лимфатических узлов возле верхней брыжеечной артерии и пятнистая гипоэхогенная селезёнка при лимфоме.

УЗИ часто является первым методом, позволяющим заподозрить лимфопролиферативное заболевание, после чего пациент направляется на КТ/МРТ/ПЭТ-КТ для уточнения стадии процесса.
У пациентов с известным диагнозом лимфомы или лейкемии УЗИ может использоваться для динамического наблюдения за эффективностью терапии.
