УЗИ мягких тканей кисти и стопы: почему обычный укол шипом розы может быть опасен?

Иногда обычное хобби или работа в саду могут привести к серьезным медицинским последствиям. В медицине существует редкое, но коварное заболевание — Plant thorn synovitis (PTS), или синовит, вызванный шипом растения.

Что такое Plant thorn synovitis?

Это специфическая воспалительная реакция организма на инородное тело. Когда микроскопический фрагмент шипа попадает в мягкие ткани (особенно в области суставов кистей или стоп), он запускает гранулематозный процесс.

Симптомы часто имитируют типичный артрит:

Важно: Поскольку реакция развивается не мгновенно, пациенты часто забывают о самом моменте укола, что крайне затрудняет постановку правильного диагноза.


Реальный кейс: когда антибиотики не помогают

Недавно в наш центр обратилась пациентка с жалобами на отек, сильную боль и покраснение пальца, которые распространялись на часть кисти. До визита на УЗИ она уже начала принимать курс антибиотиков, однако положительной динамики не наблюдалось.

Почему так происходит? Антибактериальная терапия не способна устранить первопричину — инородное тело, которое поддерживает постоянный очаг воспаления.


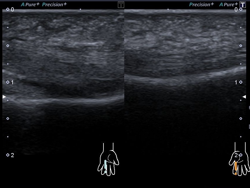
Роль УЗИ в диагностике

Перед проведением УЗИ мягких тканей пальца и кисти наши специалисты всегда детально собирают анамнез. Зная о существовании PTS, мы спросили пациентку о работе с растениями. Она вспомнила, что обрезала розы на даче и укололась, но не придала этому значения.

В ходе ультразвукового исследования было обнаружено:

  1. Выраженное воспаление подкожной жировой клетчатки.
  2. Синовит межфалангового сустава.
  3. Теносиновит (воспаление сухожилия) сгибателя пальца.
  4. Точная локализация шипа в месте прокола.

Лечение и результат

При диагнозе Plant thorn synovitis решение проблемы возможно только хирургическим путем. Благодаря УЗИ врач-диагност сделал точную разметку места залегания инородного тела для хирургов.

В результате операции был извлечен шип размером всего 1 мм, который и стал причиной масштабного воспаления. После удаления источника проблемы пациентка быстро пошла на поправку.

Когда стоит записаться на УЗИ мягких тканей?

Если вы получили травму растением, и через некоторое время появилось покраснение, отек или боль, которые не проходят после обычных мазей — не откладывайте визит к врачу. Точная диагностика позволяет избежать длительного и неэффективного лечения.

НАШI КОНТАКТИ

НАШI КОНТАКТИ

© 2018 Created by SEOGRUM.