Патологий малого таза огромное количество, но в первую очередь мы должны не пропустить образования в малом тазу. Наметилась тенденция, когда молодые женщины в репродуктивном периоде не забывают о своём здоровье и регулярно проходят УЗИ малого таза и молочных желез. Что касаемо женщин в период менопаузы, то их количество на это исследование значительно меньше. Складывается ощущение, что женщины в менопаузу просто забывают о том, что есть важные органы в виде яичников, матки и т.д. К нам такие женщины всё чаще приходят, когда есть симптомы в виде болей внизу живота или/и кровотечений, необычных выделений из половых органов. К сожалению, такие симптомы в менопаузу в основном возникают уже при запущенных злокачественных процессах в малом тазу.

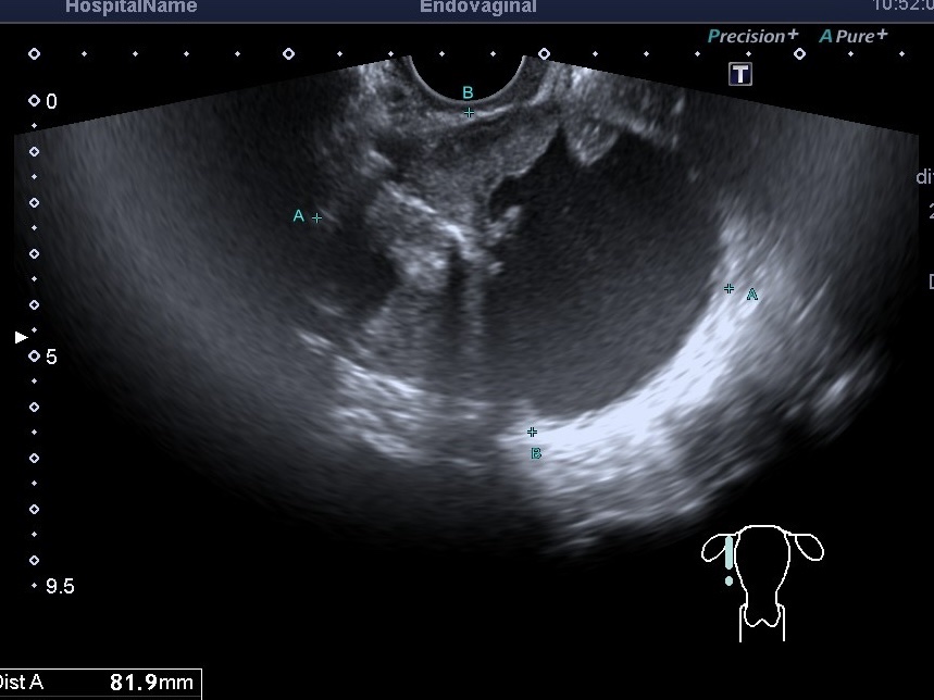
К примеру, к нам обратилась пациентка 65 лет с жалобами на непонятное снижение веса и тянущие боли в области малого таза. При проведении УЗИ малого таза было выявлено крупное кистозное образование яичника с пристеночными крупными солидными разрастаниями с повышенной васкуляризацией. Пациентка была направлена к онкологу-гинекологу, на КТ и МРТ для уточнения распространения процесса. Такие образования яичников чаще относятся к злокачественным опухолям. Лечение будет зависеть от стадии и вида опухоли. Чем раньше выявляется опухоль яичника, тем больше шансов на успешное лечение.
К сожалению, полностью предотвратит риск возникновения рака яичника невозможно, но можно снизить риски регулярным осмотром у гинеколога с проведением УЗИ таза.
УЗИ малого таза
